rspca

Is it too hard to restrain pets while travelling on the road?

Posted Dec 1, 2020
Roxy jumped from the window of a fast moving car and has a message for all of us about keeping pets safe while driving.

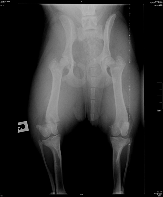
Roxy, a 7-month-old English Staffordshire Bull Terrier cross was surrendered to the RSPCA with a right hind distal femoral fracture.  Her injury was sustained when she jumped out of the owner’s car window while in transit. 

Roxy’s story is one of many nationwide, as RSPCA statistics reveal the 5,000 dogs each year are either injured or killed as a result of jumping from a moving car. A dog that is unrestrained in a car can distract the driver by jumping on their lap as well as cause serious injury to the dog and occupants of the car if a collision was to happen and the animal was thrown into the air.

roxy-injured

Roxy X-ray

So what does the law say about restraining pets in the car?

Police are able to issue demerit points and fines if an unrestrained animal causes the driver to not be in full control of the vehicle or if they have a dog on their lap while driving. Dogs on the back of utes must also be restrained by a tether behind a cargo barrier or within a carrier to minimise the risk of the animal falling off the tray or jumping while the vehicle is in motion. Car restraints are easily obtainable from World for Pets.

How do you correctly travel with your dog the back of a ute?
With all that in mind, here are some of the best ways to keep your pet safe while driving.
  1. Car harnesses are the most popular option among pet restraints because they are easy to use and generally attach straight to the seatbelt making it quick and easy to strap in your pet. Make sure you measure your dog to get the right fit allowing them to be comfortable in the harness. You can buy a car harness at World for Pets and support the RSPCA.
  2. Pet carriers are also a great way to make sure your furry friend is kept safe a secure. Some things to be aware of when choosing the right size carrier for your pet is there should be enough room to allow the animal to lie down comfortably in a natural position, turn around, stand and sit erect and stretch with clearance. Support the RSPCA and buy your pet carrier at World for Pets.
  3. Always restrain an animal in the back seat or rear of the vehicle because the passenger seat airbag could cause injury or death in the event of an accident.
  4. If you are after a bit more luxury for your canine’s car ride, try a pet booster seat, a comfy box that attaches to the seat of the car. Bonus: you can keep the car fur free by not having your dog sitting directly on the car seat. Check out the great range of pet booster seats at World for Pets.
With all that in mind, here are some of the best ways to keep your pet safe while driving.

Some more products you can purchase from RSPCA World for Pets for a safe car ride include:

We are happy to say that Roxy has made a full recovery from her injures and has recently found a loving new furever home.

Roxy with vet

Zoe Stace
Share this article
Find the perfect pet